Your time is valuable to us, so our team at Bellevue Dentistry wants to give you the most efficient and timely service possible. To help achieve this goal, we have provided our patient registration forms in an online format. Patient information is collected through the Experience Dentistry online platform. This secure system allows our patients to enter personal details through a private portal – ensuring all data is exchanged exclusively between patients and our team members.
Experience Dentistry the Right Way
A Modern, Tech-Driven Comprehensive Exam
Our goal: give every patient a level of clarity and confidence they’ve never experienced in a dental visit. Our comprehensive exam blends expert clinical evaluation, advanced diagnostics, and patient-friendly education inside our exclusive Experience Dentistry™ secure online portal, where you can view your findings, images, and personalized treatment roadmap anytime.
Radiographic & Digital Imaging
Digital X-rays (low radiation), intraoral photographs, and CBCT 3D tomography for airway, bone, joint, and structural evaluation.
Why It Matters: Precision imaging means better diagnosis, earlier detection, more conservative treatments, and a clearer understanding for you.
Did You Know? Most dental problems begin in places the eye can’t see.
Why We Use AI Enhanced X-Ray Imaging
We use Enhanced AI imaging for standard cavity detecting x-rays because it allows us to deliver care that is safer, more precise, and more complete.
An Enhanced AI x-ray helps us see what standard x-rays can miss, including decay, hidden infections or early bone changes. This allows us to catch issues earlier and plan care thoughtfully rather than reactively.
This approach supports our commitment to complete, transparent, and preventive dentistry.

Seeing What We See
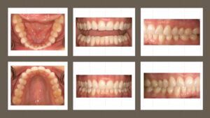
Your first visit includes a complete set of high-resolution photographs.
These images allow you to clearly see areas of wear, cracks, and gum changes that are not visible in a mirror. By documenting every angle of your mouth, we help you better understand your oral health and make informed decisions about your care.
This is a smarter, more complete way to understand what is happening and why.

Your 3-D CBCT Scan
See beneath the surface.
Your visit may include a low-radiation 3-D scan called a CBCT. This scan allows us to visualize teeth, bone, joints, and airway structures that traditional x-rays cannot show. It supports safer, more precise planning for both preventive and restorative care.
The scan takes less than a minute and uses a low radiation dose. The images become part of your secure health record and are accessible through your patient portal.
Oral Cancer Exam
What We Do: Visual exam of all tissues; screening of lymph nodes, tongue, cheeks, lips, and palate; recorded with intraoral photographs.
Signs We Watch For: Persistent sores, red or white patches, unexplained lumps, difficulty swallowing.
Why It Matters: Early detection saves lives—and early lesions usually don’t hurt.
Did You Know? Oral cancer is one of the fastest growing cancers in adults.
Periodontal Exam
What We Do: Full-mouth periodontal charting (uploaded to your portal); Gum Recession; pocket depth and bleeding evaluation; high-resolution radiographs to assess bone level made visible and noted in the AI Enhanced x-ray analysis.
Signs We Watch For: Bleeding, recession, bad breath, loose teeth.
Why It Matters: Periodontal disease is the #1 cause of tooth loss and is linked to whole-body inflammation.
Did You Know? Your gums tell us as much about systemic health as your teeth do.
Occlusal (Bite & TMJ) Exam
What We Do: Bite evaluation; Temporomandibular Joint (TMJ) assessment for joint health, muscle balance and wear-pattern analysis; excessive wear, chipped and shortened teeth ; crowded teeth affecting wear, periodontal health and esthetics.
Signs We Watch For: Grinding/clenching, headaches, chipped teeth, popping/clicking joints
Why It Matters: A balanced bite protects teeth, prevents fractures, and improves long-term comfort.
Did You Know? Grinding can create 10× more pressure than normal chewing.
Restorative (Teeth & Fillings) Exam
What We Do: Evaluate every tooth and restoration; checking for visible and radiographic decay, cracks, staining, sensitivity, using HD imaging and digital radiographs.
Signs We Watch For: Sensitivity, cracks, staining, chipped enamel, and failing existing restorations.
Why It Matters: Early detection saves natural tooth structure and avoids complex treatment.
Did You Know? Early cracks can often be treated same-day with modern ceramic technology.
Esthetic & Smile Analysis
What We Do: Analyze tooth color, shape, alignment, smile symmetry, and gumline position.
Why It Matters: A confident smile begins with understanding what’s possible.
Did You Know? Tiny changes to contour or translucency can dramatically enhance a smile.
The Experience Dentistry™ Portal
Your private online portal gives you access to all photos, scans, X-rays, clinical notes, treatment roadmaps, before/after visualizations, and secure messaging with our team and any necessary specialists.
Final Consultation & Your Custom Treatment Plan
We review everything together using visuals, models, and clear explanations. No pressure. No confusion. We prioritize goals for Health → Function → Comfort → Smile.
Your personalized plan is always available inside your secure portal.
We Look Forward to Meeting You Soon
Complete Your New Patient Forms Online
Call 425-528-9312 today if you have questions about our forms or would like to schedule a visit with Drs. Mark DiRe or Caitlin Steinbeck, our caring dentists in Bellevue, Washington.
Follow the link below to begin registering with our office: